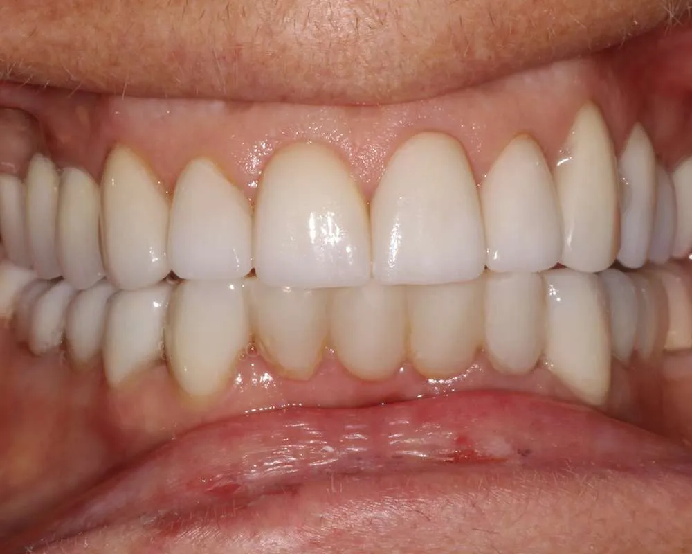
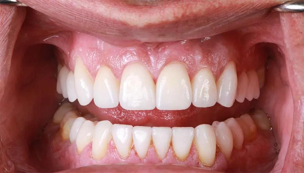
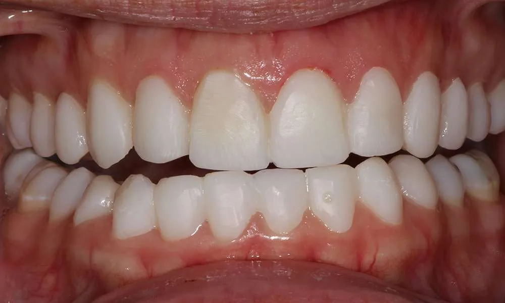
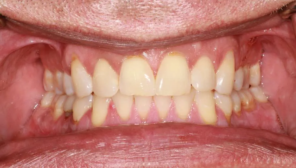
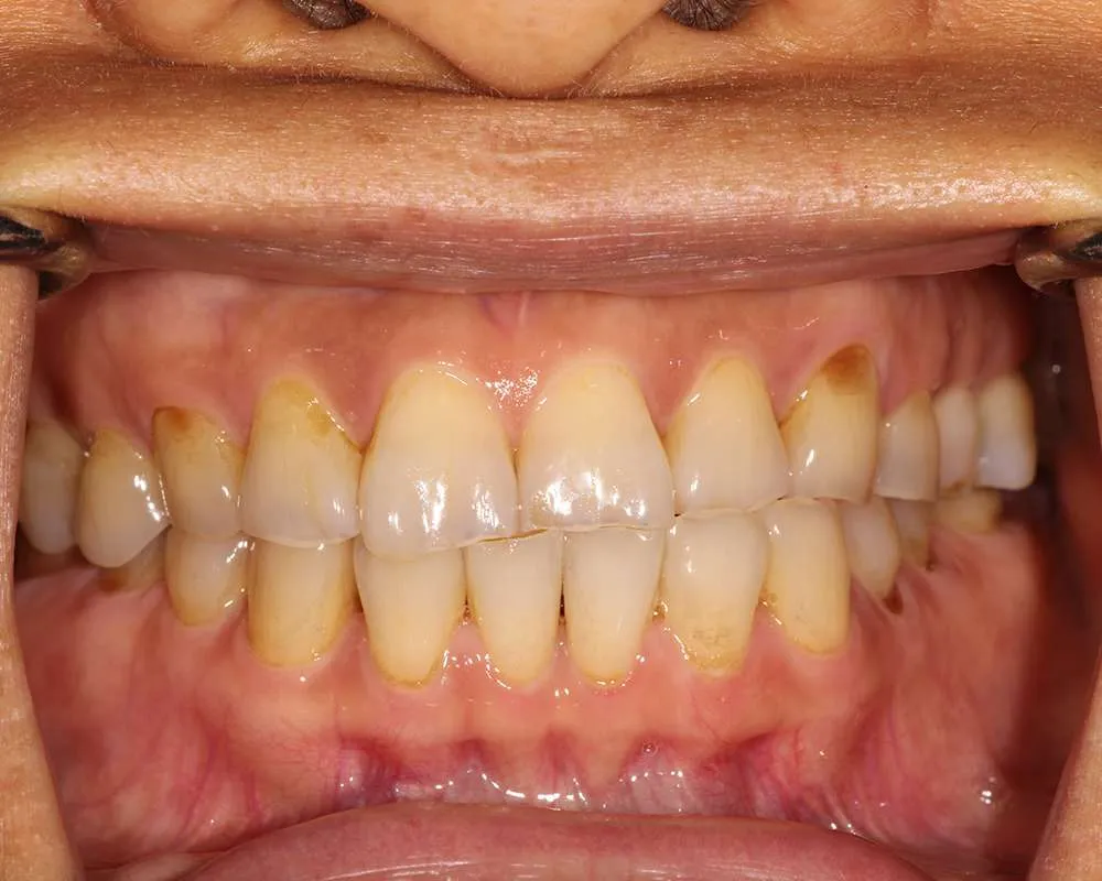
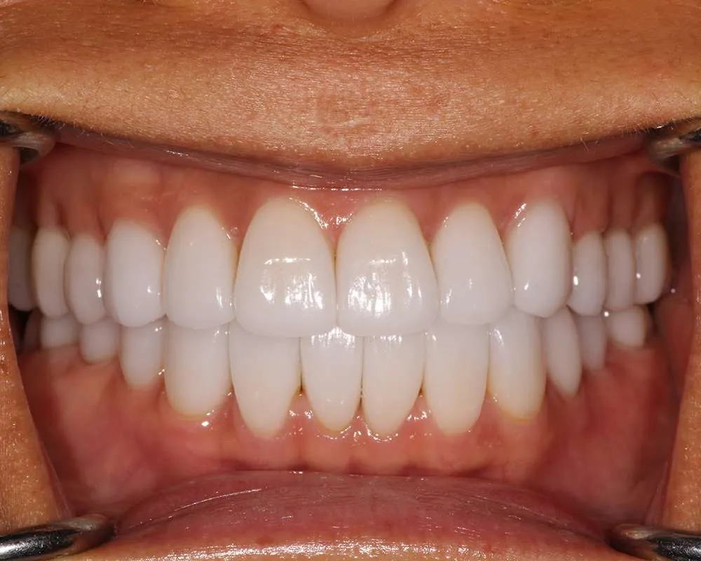
Achieve a flawless smile: Experience the elegance and durability of ultra thin veneers.
What Are Ultra-Thin Veneers?
Minimally Invasive Cosmetic Restorations for a Natural and Durable Smile.
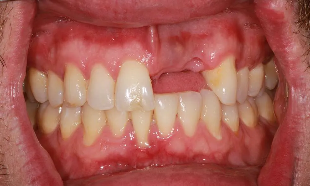
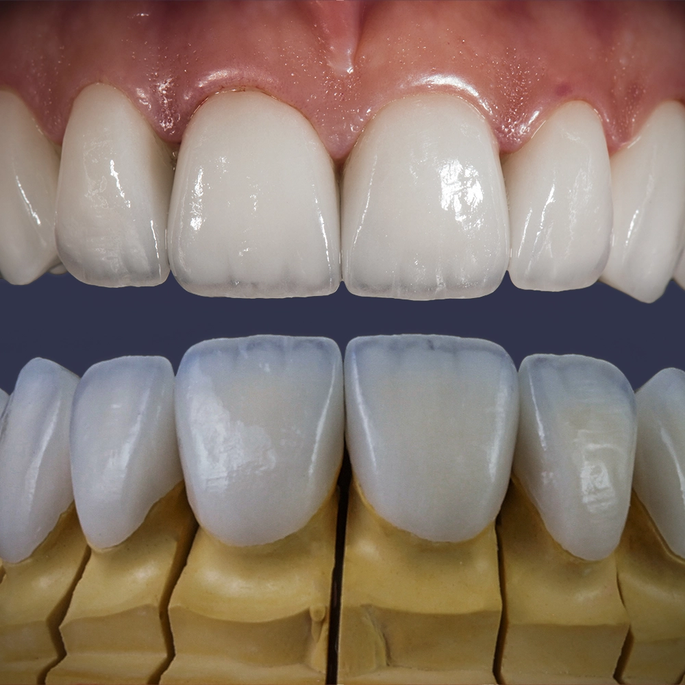
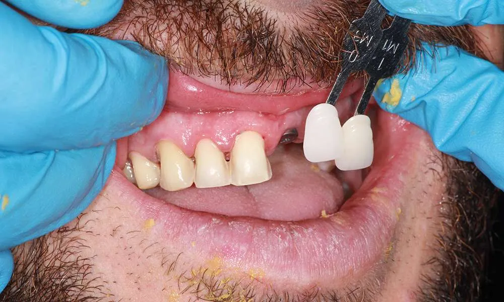
Ultra-thin veneers are a type of cosmetic dental restoration made from high-quality, durable materials that expertly mimic the translucency and texture of natural enamel. These advanced veneers offer a revolutionary solution compared to traditional veneers, which often necessitate significant removal of tooth enamel. Designed to be as thin as a contact lens, ultra-thin veneers require minimal tooth alteration, thereby preserving more of your natural tooth structure. This innovative approach not only maintains the health and integrity of your teeth but also ensures a stronger and longer-lasting result. By choosing ultra-thin veneers in Los Angeles with Dr. Paul O'Malley, you benefit from a minimally invasive treatment that enhances your smile while supporting your overall oral health.






























































































