

Achieve a Flawless Smile: Experience the Elegance and Durability of Ultra Thin Veneers
Ultra-Thin Veneers
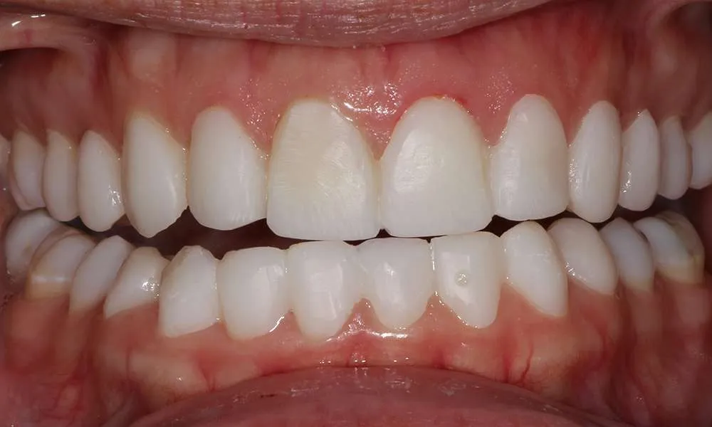
Natural-Looking Results with Minimal Tooth Alteration
At Dr. Paul O'Malley's practice, we specialize in ultra-thin veneers that offer a minimally invasive solution for achieving a beautiful, natural-looking smile. Our approach focuses on providing aesthetic enhancements while ensuring the health and integrity of your natural teeth. These veneers are meticulously crafted from high-quality materials that closely mimic the appearance and texture of natural enamel. By utilizing advanced techniques, we ensure that the application process involves minimal alteration to your existing tooth structure. This method not only enhances the aesthetic appeal of your smile but also maintains the strength and health of your teeth, providing you with a durable and long-lasting solution.
Natural Veneers
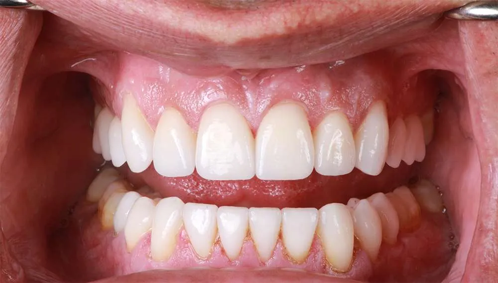
Minimally Invasive Cosmetic Restorations for a Natural and Durable Smile
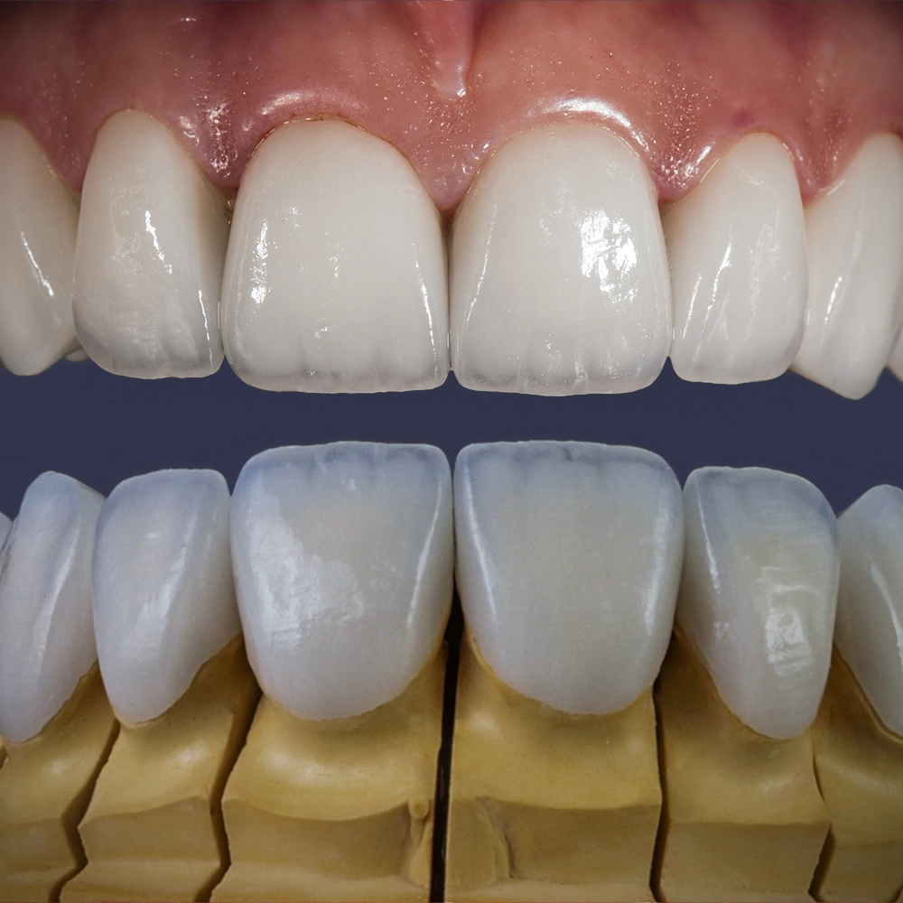
Ultra-thin veneers are a type of cosmetic dental restoration made from high-quality, durable materials that expertly mimic the translucency and texture of natural enamel. These advanced veneers offer a revolutionary solution compared to traditional veneers, which often necessitate significant removal of tooth enamel. Designed to be as thin as a contact lens, ultra-thin veneers require minimal tooth alteration, thereby preserving more of your natural tooth structure. This innovative approach not only maintains the health and integrity of your teeth but also ensures a stronger and longer-lasting result. By choosing ultra-thin veneers, you benefit from a minimally invasive treatment that enhances your smile while supporting your overall oral health.
Custom Veneers

Expert Dentistry
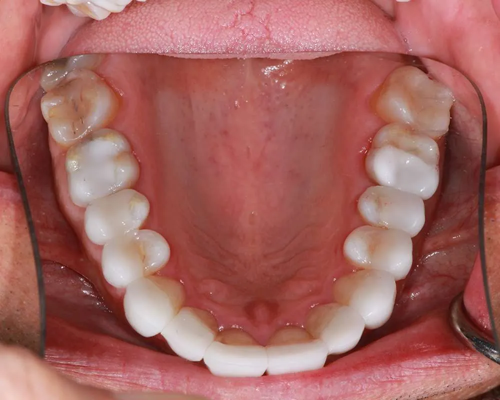
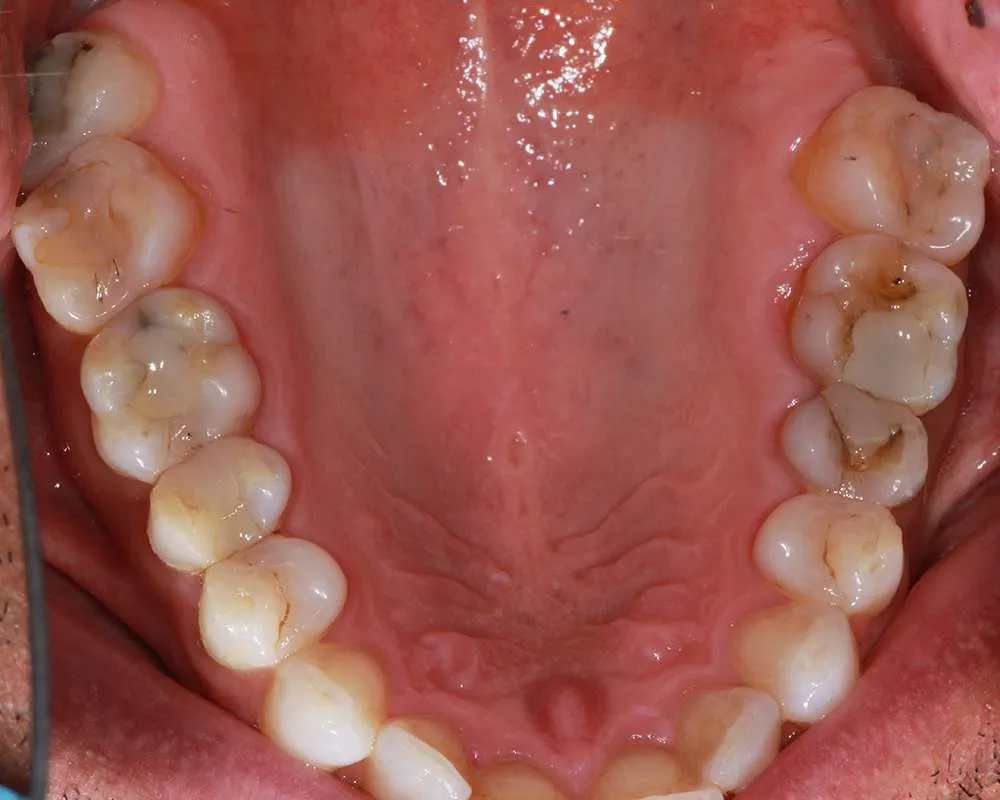
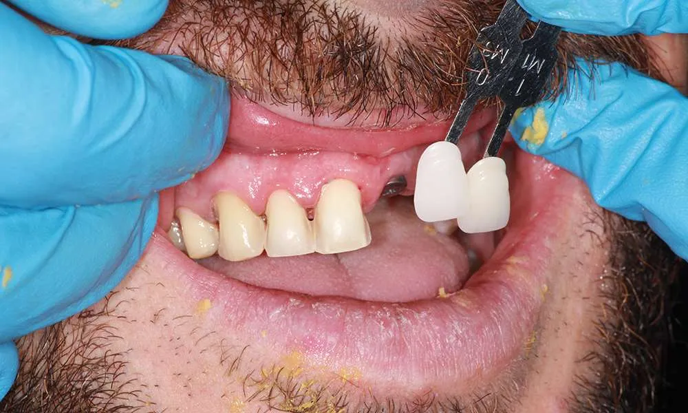
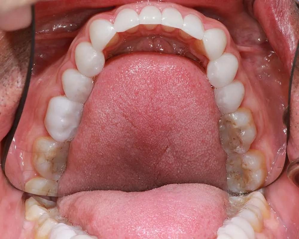
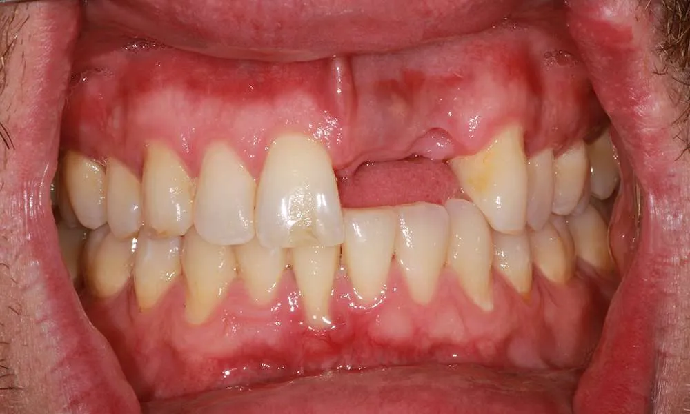
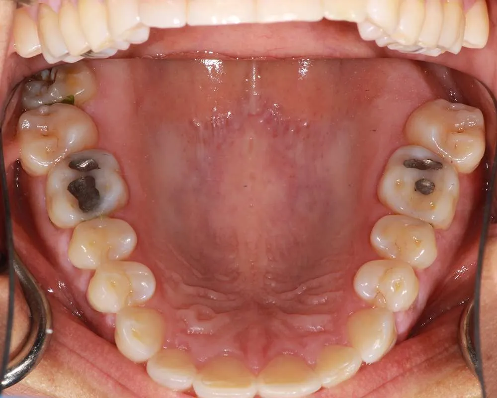
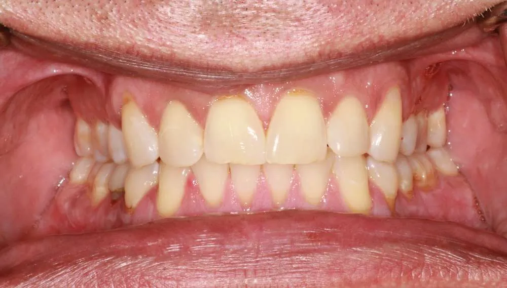
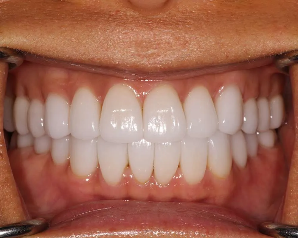
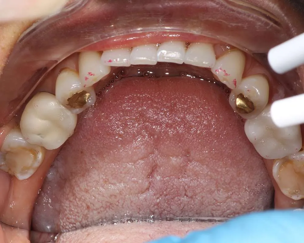
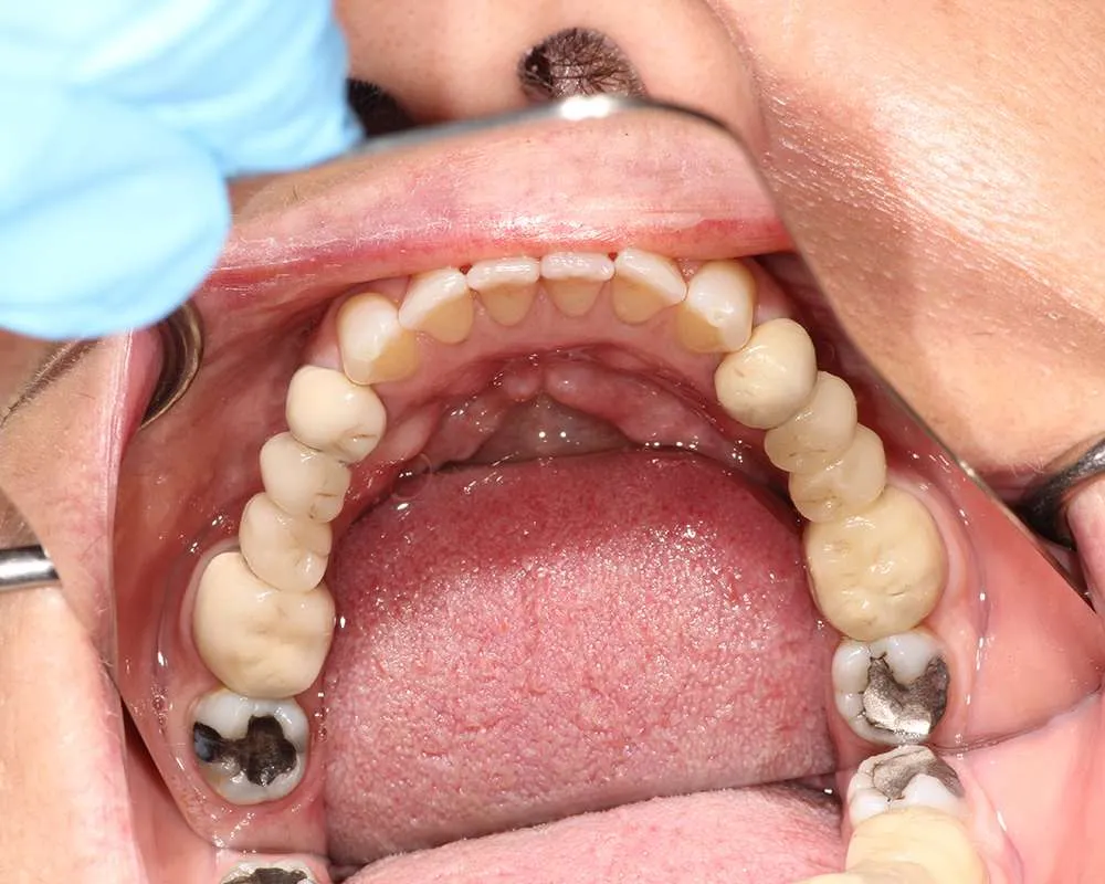
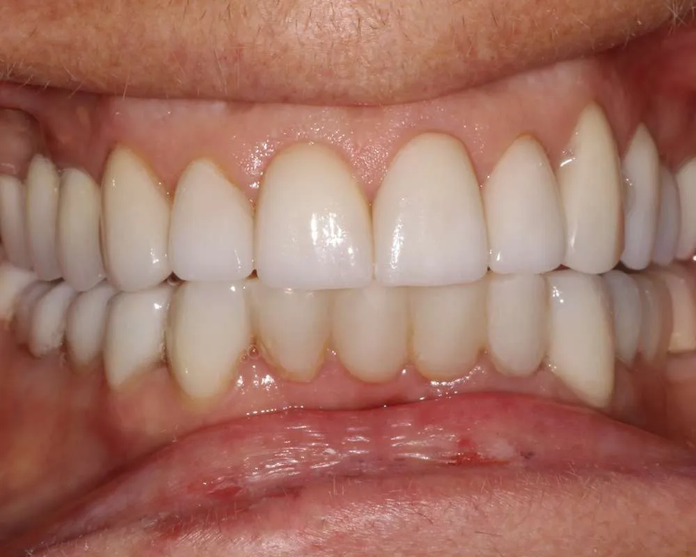
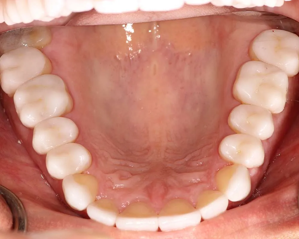
Real Stories, Real Results: Case Studies Showcasing How Our Personalized Approach Transforms Smiles and Lives
Appointments
Time*
Percent Change
Total Investment




Amalgam fillings removed
Dental Appointments
Percent Change
Total Investment


Amalgam fillings removed
Dental Appointments
Percent Change
Total Investment


Amalgam fillings removed
Dental Appointments
Percent Change
Total Investment


Amalgam fillings removed
Dental Appointments
Percent Change
Total Investment



Amalgam fillings removed
Dental Appointments
Percent Change
Total Investment




Amalgam fillings removed
Dental Appointments
Percent Change
Total Investment


Amalgam fillings removed
Dental Appointments
Percent Change
Total Investment


Amalgam fillings removed
Dental Appointments
Percent Change
Total Investment


Amalgam fillings removed
Dental Appointments
Percent Change
Total Investment



Amalgam fillings removed
Dental Appointments
Percent Change
Total Investment


Amalgam fillings removed
Dental Appointments
Percent Change
Total Investment


Amalgam fillings removed
Dental Appointments
Percent Change
Total Investment



Minimal Prep Veneers
Experience the Advantages of a Minimally Invasive, Natural-Looking, and Durable Smile Enhancement
One of the most significant benefits of ultra-thin veneers is that they require minimal removal of the tooth surface, allowing you to preserve your natural tooth structure. Traditional veneers often necessitate the removal of a substantial amount of enamel, which can weaken the teeth over time. In contrast, ultra-thin veneers are designed to be as thin as a contact lens, which means that only a small amount of your tooth surface needs to be etched. This preservation of your natural enamel results in a healthier, stronger tooth that maintains its integrity and function.
Ultra-thin veneers are crafted from high-quality materials that closely resemble the look and feel of natural teeth. The translucency and texture of these veneers mimic the appearance of real enamel, ensuring that your smile looks natural and aesthetically pleasing. Each veneer is custom-made to match the color, shape, and size of your existing teeth, blending seamlessly with your natural smile. This attention to detail ensures that your veneers are virtually indistinguishable from your natural teeth, providing you with a flawless, beautiful smile.
Despite their thinness, ultra-thin veneers are incredibly durable and designed to last for many years. They are made from advanced, high-strength materials that can withstand the daily wear and tear that your teeth endure. This durability provides you with a reliable solution for enhancing your smile without the worry of frequent replacements or repairs. With proper care and maintenance, your ultra-thin veneers can remain intact and look beautiful for a long time, making them a worthwhile investment in your dental health and appearance.
Achieving a transformed smile with ultra-thin veneers is a relatively quick process that can be completed in just a few visits to our office. After the initial consultation and planning, the preparation and placement of the veneers are straightforward and efficient. Unlike more invasive procedures that require multiple stages and extended recovery times, ultra-thin veneers offer a faster route to a beautiful smile. You can achieve noticeable improvements in the appearance of your teeth in a short period, allowing you to enjoy the benefits of a stunning smile with minimal disruption to your daily life.
Aesthetic Dentistry
Learn how ultra-thin veneers can transform your smile with our free Holistic Dental Course. It doesn’t cost a dime and will protect you from bad dentistry. Videos are delivered daily, or you can get them all at once by contacting us. Sign up now and receive a free call/text/email back from our Los Angeles office to answer any questions and schedule your free x-ray evaluation.
Veneer Specialists
Simple Steps to Maintain the Longevity and Beauty of Your Ultra-Thin Veneers
Maintaining your ultra-thin veneers is straightforward and involves adhering to regular oral hygiene practices. Firstly, it’s essential to brush your teeth at least twice a day with a soft-bristled toothbrush and fluoride toothpaste. This helps to remove plaque and prevent cavities, ensuring that both your veneers and natural teeth stay healthy. Flossing daily is equally important, as it removes food particles and plaque from between your teeth and along the gumline, areas that brushing alone cannot reach.
Regular dental checkups are crucial for maintaining the health and appearance of your veneers. During these visits, we will thoroughly clean your teeth, check for any signs of potential issues, and ensure that your veneers are in excellent condition. These routine appointments help prevent problems before they start and keep your smile looking its best. Additionally, it’s wise to avoid biting into hard foods like ice, hard candy, or nuts, as these can potentially chip or damage your veneers. By following these simple care instructions, you can enjoy the longevity and aesthetic benefits of your ultra-thin veneers for many years.
Check Out Dr. O'Malley's Patented, Naturally Derived Oral Care System. Dr. O'Malley is a published author, researcher and personally formulated the products in the Great Oral Health system!
Complex Cases
Witness the Remarkable Changes We Can Achieve
Cosmetic Veneers
Unparalleled Expertise in Comprehensive Dental Care Tailored to Every Unique Smile

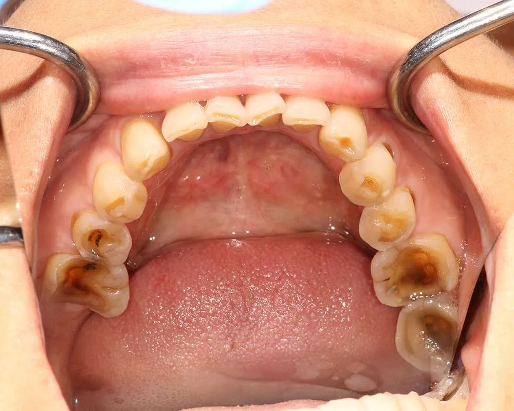
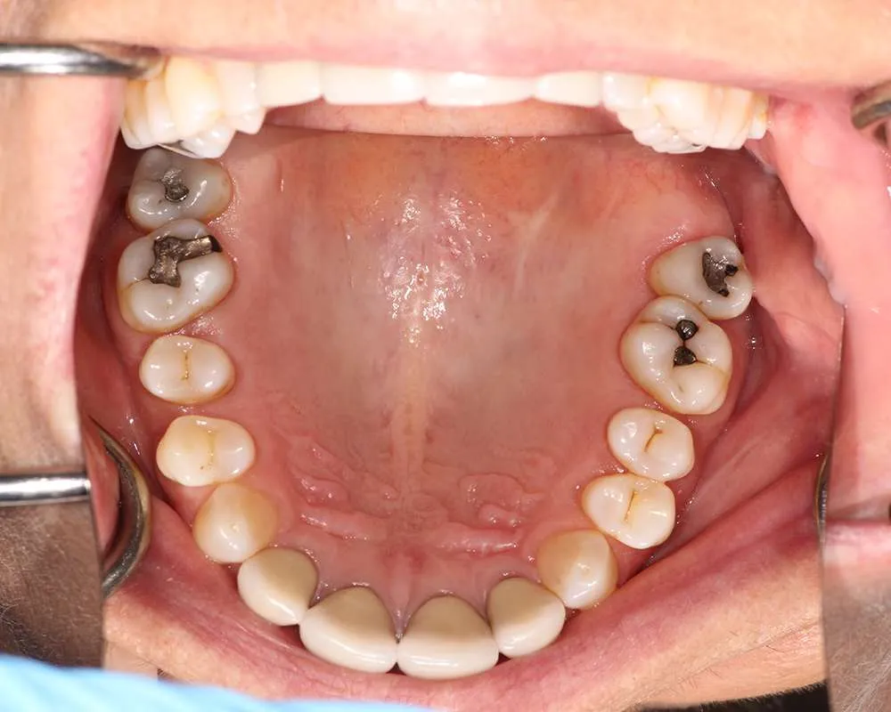
The safe removal of mercury fillings is crucial for your health and well-being. At our practice, we follow strict protocols to ensure that mercury amalgam fillings are removed safely and effectively.

Experience the next level of comfort and stability with our implant-supported dentures. We utilize state-of-the-art techniques to create dentures that not only look like your natural teeth but also provide superior function and fit.
Our practice offers high-quality dental implants for a permanent, natural-looking solution to missing teeth. Using the latest materials and techniques, we ensure your implants are stable, durable, and seamlessly integrated.
Veneer Experts
Providing Clarity on Common Queries
Ultra-thin veneers are designed to be highly durable and can last between 10 to 15 years or even longer with proper care. Maintaining good oral hygiene practices, such as brushing and flossing daily, and attending regular dental checkups will help ensure the longevity of your veneers. Avoiding hard foods and using a mouthguard if you grind your teeth can also extend their lifespan. Ultimately if you maintain good hygiene and take care of your smile it will last a very long time.
While ultra-thin veneers are a fantastic option for many patients looking to enhance their smile, they may not be suitable for everyone. Ideal candidates are those with healthy teeth and gums who are looking to correct cosmetic issues like discoloration, misalignment/crooked or small gaps. During your consultation, Dr. O'Malley will assess your dental health and determine if ultra-thin veneers are the right choice for you.
The process of getting ultra-thin veneers typically involves several steps. First, during the initial consultation, we will discuss your goals and take impressions and photographs of your teeth. Next, we will minimally prepare your teeth generally less than 0.5mm of preparation (sometimes little or no preparation is needed depending on the design). Then you'll leave with a 'trial smile' and temporary veneers in place, after which we'll have a follow-up appointment the next day for final evaluation of your temporary veneers for tweaks and fitting to help guide the lab to your custom smile. Your veneers are finally crafted in a premier dental lab. Finally you'll return to the office where your custom, ultra-thin veneers are bonded to your teeth using biocompatible materials. The entire process usually takes one to four weeks from start to finish depending on the lab and complexity of the case.
Ultra-thin veneers offer a less invasive alternative to traditional veneers and the procedure is completely different (see above). Traditional veneers often require significant removal of tooth enamel, which can weaken the teeth. In contrast, ultra-thin veneers require minimal tooth alteration, preserving more of your natural tooth structure. This results in a stronger, healthier tooth foundation and a natural-looking appearance. Additionally, ultra-thin veneers are often quicker to apply and cause less discomfort during the procedure.
Mon - Wed 10-6
Thu, Fri By Appointment
Sat - Sun Closed
Testimonials
Check out what our happy clients are saying in their own words
Standout Social Media Moments
#FollowDrPaul
Check us out and follow our accounts on the following social media platforms....